私たちの口の中で、銀歯はどれほど重要な役割を果たしているのでしょうか。見た目には目立たない存在ですが、実は多くの人にとって欠かせない治療法です。銀歯は、虫歯治療や歯の修復において非常に効果的な選択肢です。 その耐久性やコストパフォーマンスから、昔から多くの人に愛用されています。
銀歯の概要
銀歯は、歯科において広く使用される治療材料です。この診療材料は、虫歯の治療や歯の修復に効果的です。以下に、銀歯の特徴を示します。
また、銀歯は主に以下の素材で構成されています。
| 素材名 | 特徴 |
|---|---|
| アマルガム | 耐久性があり、安価で利用される。 |
| コンポジット | 自然な歯の色に近く、美しい仕上がり。 |
| セラミック | 審美性に優れ、変色しにくい。 |
銀歯の利点
銀歯には多くの利点があり、特に虫歯治療で選ばれる理由がいくつかある。耐久性が高く、長期間使用できるため、多くの人にとって信頼できる選択肢となる。
耐久性
銀歯の耐久性は以下の理由で優れている。
これらの特性は、銀歯が他の治療法に比べて信頼性の高い選択肢である要因だ。
見た目
銀歯は見た目の面でも配慮されている。
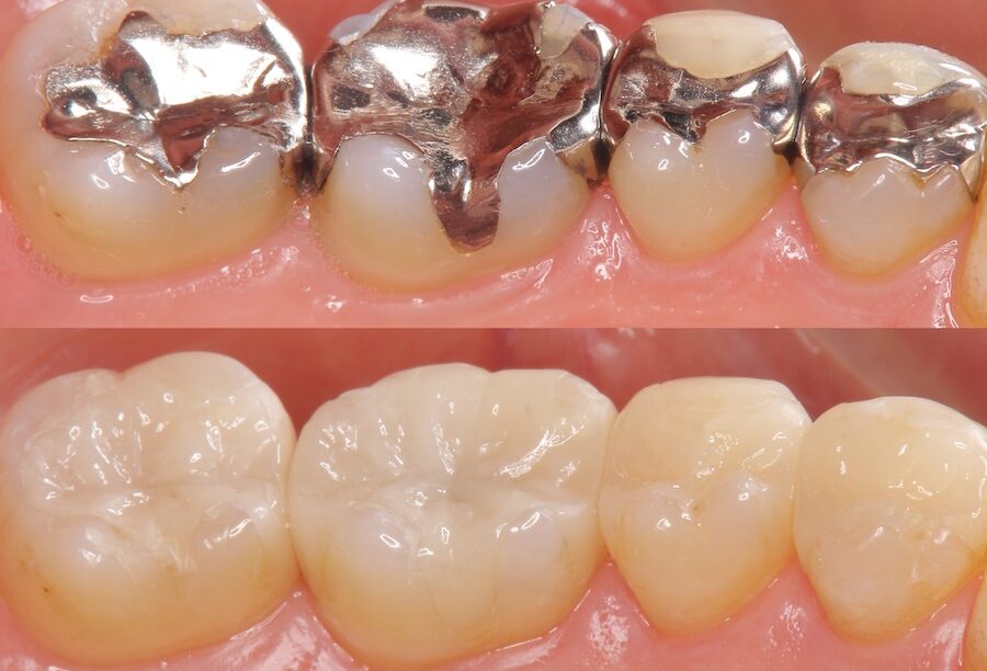
銀歯の欠点
銀歯にはいくつかの欠点が存在します。これらの問題点を理解することで、治療方法を選択する際に役立ちます。
アレルギー反応
銀歯に含まれる金属がアレルギー反応を引き起こすことがあります。以下は、アレルギー反応に関連する点です。
アレルギーの可能性を考慮すると、治療の前に十分な情報提供が重要です。
美容的な側面
銀歯の外見には、美容的な欠点も伴います。美しさを重視する場合は、以下の点に注意が必要です。
銀歯と他の材料の比較
銀歯は他の材料と比較すると、さまざまな特徴があります。ここでは、特にセラミック歯とコンポジット樹脂について考えてみます。
セラミック歯
セラミック歯は、美しさと耐久性を兼ね備えています。以下の点が特に注目されます。
しかし、セラミック歯は治療コストが比較的高く、施工が難しいこともあります。この点を考慮する必要があります。
コンポジット樹脂
コンポジット樹脂は、毎日の使用にも耐えられる柔軟な材料です。主な特徴は以下の通りです。
結論
銀歯は多くの人にとって信頼できる治療法でありその耐久性やコストパフォーマンスの良さから長年愛用されています。見た目が目立たないため自信を持って笑顔を楽しむことができるのも大きな魅力です。
もちろんアレルギーや美的な側面での懸念もありますがそれらを理解しながら治療法を選ぶことで自分に合った最適な選択ができるでしょう。他の治療材料との比較を通じて私たちのニーズに合った治療法を見つける手助けとなることを願っています。銀歯を選ぶ際はその利点と欠点をしっかりと考慮し自分の健康を守るための一歩を踏み出しましょう。
